Come. Stay. Heal.™The only veterinary surgical practice in Arizona dedicated 100% to canine orthopedics
ConsistencyRepetition builds results — and reputations.
PrecisionAccuracy isn’t optional — it’s everything.
CreativityComplex problems deserve elegant answers.
Biology & MechanicsForm follows function. Then follows fun.
QualityOutcomes worth standing on.
What you need to know.
CrCL Tear (TPLO)
What you need to know.
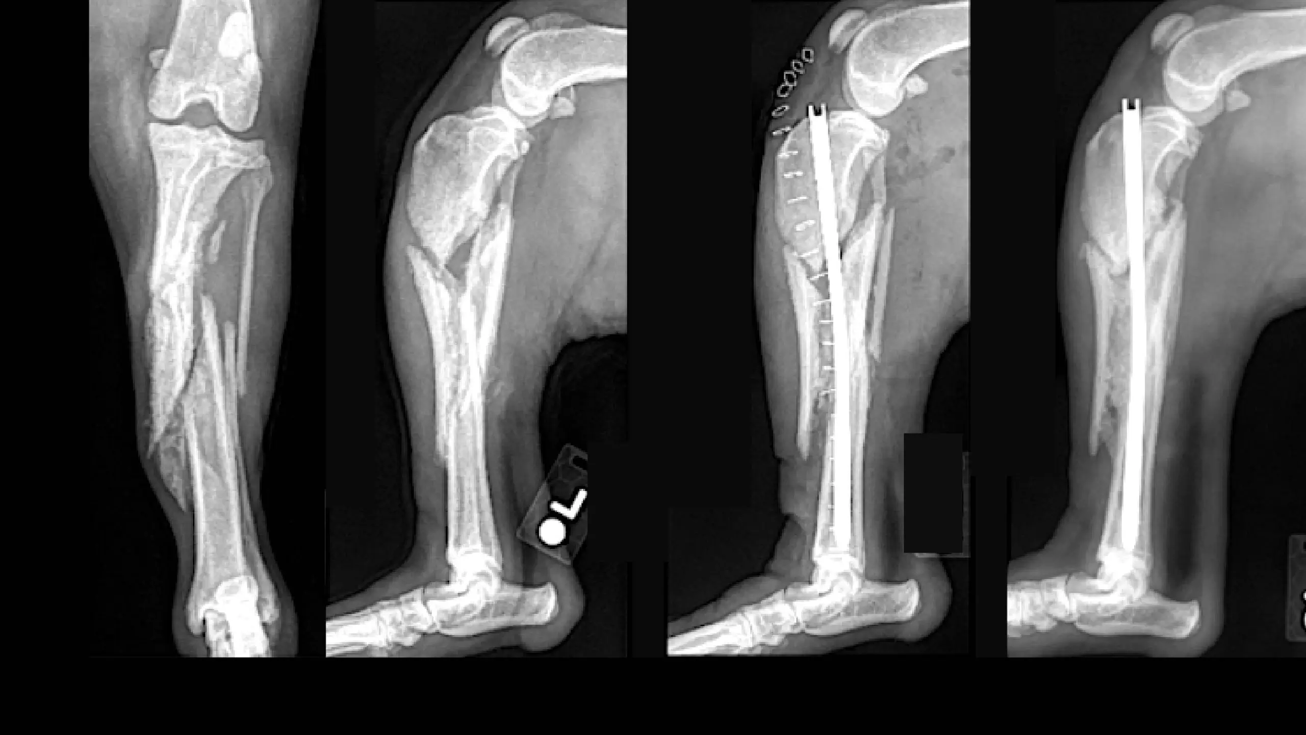
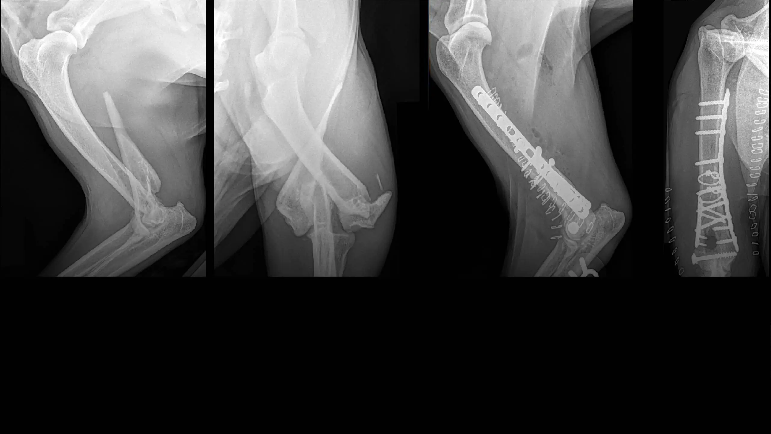
Orthopedic Trauma & Minimally Invasive Fracture Repair
What you need to know.
Elbow Dysplasia
What you need to know.
Hip Dysplasia
What you need to know.
Total Hip Replacement
What you need to know.
A CT scan allows surgeons to view bones and joints in 3 dimensions and has many advantages when compared to standard radiographs. A CT may also be used to create life-sized anatomic bone models, custom surgical guides and implants including bone plates or joint replacement components using 3-D printing technology.
3D computerized planning
means surgical precision!
Be "right there" with your pet. Not available anywhere else in Arizona.
We want you to be secure in your decision to have us get your pet healthy again. See what we're doing in real time throughout the entire procedure.
Matty is resting under a warming blanket while her knee is being fixed.
We are profoundly serious about helping pets live their best lives. From the specialized equipment and procedures we use to our advanced technical and surgical skills – special attention is really the only kind we offer. It’s the combination of warmth, understanding and veterinary surgical expertise that helps your furry family member get back in action quickly.
This is Matty's knee. Our surgical camera allowed for less invasive surgery and quicker healing.
Everything we do is based on helping furry family members get well. So much so that we guarantee our procedures. Clients trust us but not because of our guarantee, rather they trust us because of why we have it — we are the best at what we do.
We provide understandable explanations of what's involved so you you can be sure your pet will get the best care. Combining true compassion with the finest surgical techniques and there isn't a better place for getting your pet back in action. We guarantee it.

Clockwise from top-left:
Dr. Lirtzman, Dr. Petrovsky, and Dr. Trumpatori
We pride ourselves on doing things differently. We insist on providing premier service to our patients and their caregivers. There's a saying, "Price is what you pay; value is what you get." At ACOSM, delivering on value is our mission.
We're proud of our experience, skill, and outcomes; it puts us in a category of one, which means you'll experience things with us not promised by any other veterinarian in AZ.
Distal Femoral Osteotomy for Comprehensive Treatment of Medial Patella Luxation
Three-Dimensional Printed Patient Specific Guides for Acute Correction of Deformities
Comparison of Arthroscopy and Arthrotomy for Diagnosis of Medial Meniscal Pathology
Second Look Arthroscopic Findings After Tibial Plateau Leveling Osteotomy