Veterinarians describe fractures by which bone was affected, the fracture location within the bone, the shape or configuration of the break, and whether a foreign object or the bone itself punctured your dog's skin.
If your dog was involved in an accident and has a suspected fracture, take your pet to the primary care veterinarian's office or an emergency veterinary clinic right away. The doctor will check for internal injuries, which is crucial because some can be life-threatening.
Confine pets with fractures by encouraging them to lie in a small but proportionally sized place such as a box for smaller cats and dogs or a crate or kennel for larger dogs. Move them only to allow for urination or defecation or to maintain cleanliness. Call the primary vet or emergency clinic at once for guidance. Do not administer medication or attempt to perform treatment of any kind unless advised by a veterinarian.
Incomplete “greenstick” fractures may occur in young animals and can appear like a bend in the bone with cracks extending partway through the bone's circumference.
Complete fractures are breaks that go from one side of the bone to the other, creating two or more bone fragments.
Complete fractures have subdivisions based on their morphology:
Transverse fractures are linear and break 90° perpendicular to the length of the bone.
Oblique and/or spiral fractures occur at an angle along the length of the bone, creating two sharply pointed bone fragments.
Comminuted fractures can be the most severe because the bone fractures in three or more pieces with varying sizes and shapes of fragments. Comminuted fractures can be associated with the most significant soft tissue swelling and instability.
Bone breaks that puncture through the skin are called open fractures. Open fractures may also occur when objects forcibly enter the skin with sufficient force to damage bones. Open fractures may result in infection due to the bacteria entering the wound.
Closed fractures remain beneath the level of the skin.
Bones have innervation, which is why fractures are painful. Pets with fractures in the front or hind legs will hold up the affected limb, not wanting to bear weight due to pain. Depending on the number of fractures, their location, and their severity, some pets will be able to put minimal weight on the limb, while others may refuse to walk. Swelling or abnormal limb movement may be visible. Dogs in distress often lick or bite at the injured area, whimper, yelp, pant, or show signs of aggression such as biting or growling.
When trauma is involved, besides broken bones, internal organs may be damaged by:
Veterinarians thoroughly examine pets, check for injuries to bones and internal organs, and order X-rays of the affected limb(s) and chest, abdominal ultrasound, blood work, or even a CT scan to aid in making a diagnosis.
Immobilizing fractures so the jagged, broken edges can no longer move makes the fracture less painful and minimizes further damage to surrounding tissues such as blood vessels, muscles, and nerves.
Open fractures may result in infection and should be cleaned and treated within hours of occurring. Closed fractures require treatment within one to four days, and veterinarians must repair damage to internal organs before stabilizing fractures.
Veterinarians may choose to immobilize a fractured bone using a splint that prohibits the joints above and below the injury from moving. Splinting bones below the elbow or knee is easier and more challenging in the shoulder or hip areas.
Bone plates and screws are available in a large variety of shapes, lengths and sizes to accommodate most bone fractures from the paw to the pelvis. Bone screws may also be used to hold individual fragments of bone together. Bone plates may be purpose specific and shaped to fit and function based on the anatomy. Most bone plates are straight by design and may be bent or twisted to best fit the bone. Despite the shape and design of a bone plate, function may vary substantially.
Plates may be applied in various modes according to the function required. These include:
NB: The terminology may be confusing; these names refer to the mode in which the plates are applied and are not specific to a particular plate.
For a simple, tranverse fracture, a bone plate may be used in compression - to squeeze the bone ends together for primary bone healing.
Bone plates may also be used in neutralization or as a “protection” plate, i.e., they neutralize the forces of distraction, compression, bending, torsion and shear that may act upon a fracture and/or to protect interfragmentary screws.
Bridging plates are used for multi-fragment long bone fractures where intramedullary nailing or conventional plate fixation is not suitable. The plate provides relative stability by fixation of the two main fragments, achieving correct length, alignment, and rotation. The fracture site is left undisturbed, and secondary bone healing by callus formation is promoted.
Finally, buttress plates are often used to supplement screw fixation of shear or split fractures at the more extreme ends (metaphyseal regions) of the bones.
For a more complete review of bone plate designs, plate function and application, please refer to the AO Surgery reference
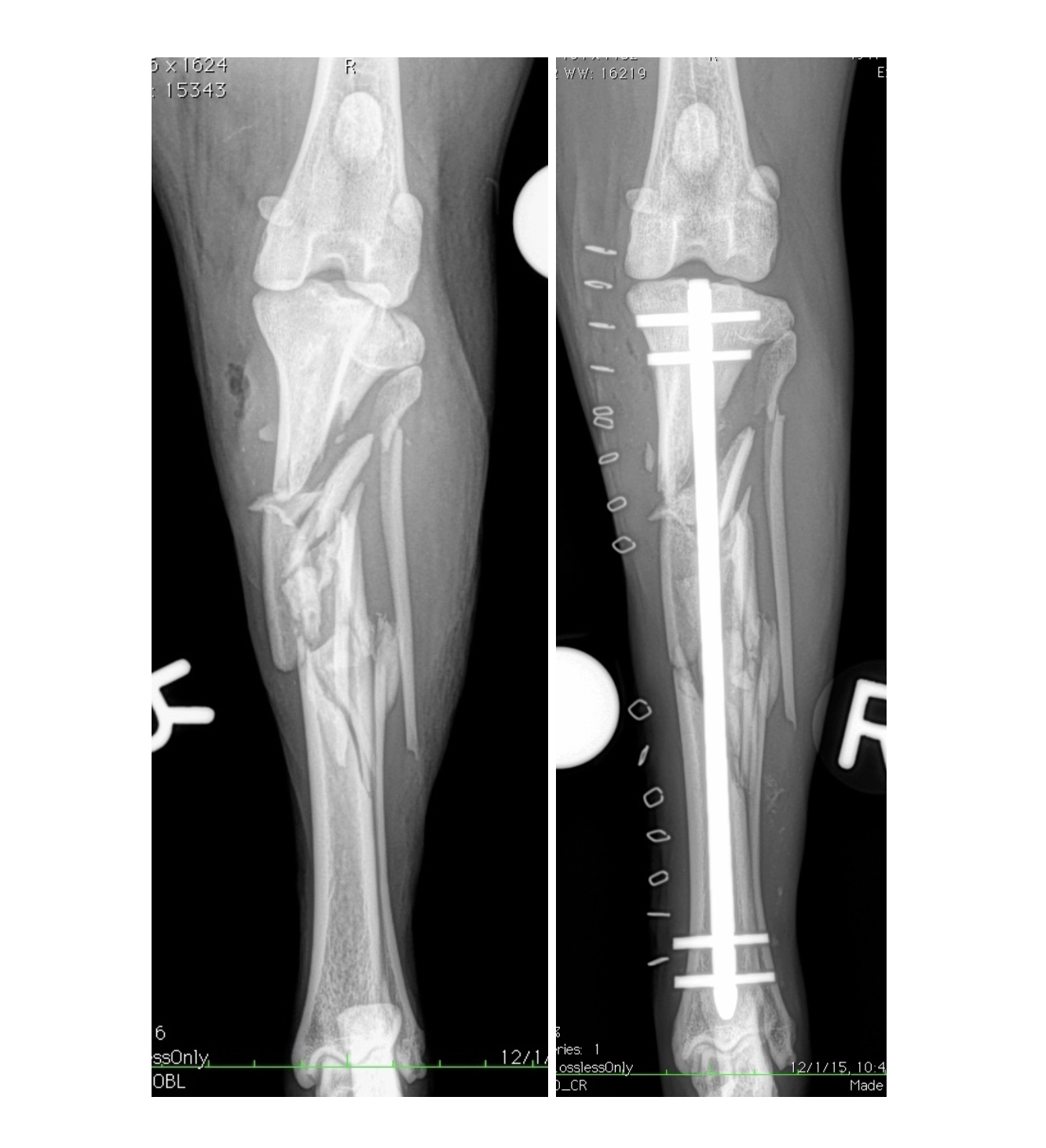
Interlocking Nail (ILN) fixation is an internal repair most commonly used for fractures of the femur, humerus, and tibia. This method of repair is well suited for comminuted and mid-diaphyseal fractures. The surgeon inserts a specialized hourglass-shaped stainless steel nail (BioMedtrix I-Loc™) with threaded holes at each end into the central medullary canal of long bones. Threaded locking bolts are inserted into the nail and provides excellent stability and bone mechanics. Interlocking nails may be inserted via an open surgical approach to the bone or via a minimally invasive approach - small incisions remote to the fracture with preserves blood supply to the bone for improved healing.
Healing may be quicker and easier with these patients and situations:
Healing may be slower or difficult with these patients and situations:
For sufficient healing, fractures in puppies generally require a minimum of four to six weeks, and older animals require approximately eight to twelve weeks. After the fracture heals, the pet may gradually return to physical activity, and the surgeon will provide care and recovery instructions to aid healing.
Do the surgeons at ACOSM understand what I want for my dog?
We do. When a pet is injured, owners and surgeons are on the same page – accurately determine what’s wrong, decide the best course of action, and administer treatment as safely and efficiently as possible. We’ve successfully cared for several hundred animals with fractured bones and helped them return to living active, happy lives.
Will my dog be able to enjoy life after breaking a bone?
Fractures aren’t usually life-threatening. Once healed, most pets enjoy an active and normal life. Concurrent damage to internal organs or the spine may slow the healing process and have a less desirable prognosis.
How long will it take before my dog can walk or play again?
On average, broken bones gradually heal in two to four months. Recovery time is variable for each dog based on:
Is caring for a dog that had surgery for a broken bone difficult?
Caring for your dog shouldn’t be difficult, but it could be challenging because you’ll need to take precautions to protect the healing bone despite their wanting to run and jump. Dogs don’t understand how to take it easy, so too much activity may be detrimental, especially during the early phases of healing.
To make home care manageable, we’ll provide instructions to aid recovery, including:
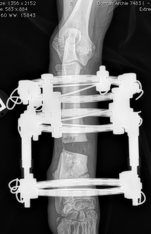
This image demonstrates the use of circular ring external skeletal fixation for gradual and incremental correction of limb alignment and limb lengthening of the radius-ulna in a dog. This device uses linear "motors" to distract and move the bones daily by use of a simple wrench. Limb lengthening may be achieved at a rate of approximately 1 mm per day.
This highly comminuted tibia-fibula fracture in a Border Collie was managed with a Biomedtrix I-Loc interlocking nail (ILN). Many ILN applications in the tibia of dog's may be managed without opening of the fracture site and disruption to the fracture hematoma and local blood supply. These minimally-invasive techniques may help bones heal faster and with less complications.
Multiple bone plates, screws and cerclage wires may be used to stabilize fractures. This common - and very complex - injury is often described as a "T" or "Y" fracture of the humerus and results in three separate segments including an intra-articular component. The joint surface is reconstructed first followed by application of bone plates both medially and laterally in neutralization.
Distal radius-ulna fractures are very common in small/toy breed dogs and the Italian Greyhound as a result of jump down trauma. These frequently simple, transverse, two-piece fractures are commonly managed by open, anatomic, radius bone reduction and plate application in compression.
This large segmental tibia-fibula fracture in an Irish Wolfhound was managed by interfragmentary screws and a large medial bone plate applied in a neutralization fashion.
Make no mistake, all surgical procedures are serious. Get the information you need and know your options. Then make an informed decision. Like any service, not all veterinary services are equal. Call to schedule or ask questions.
We pride ourselves on doing things differently. We insist on providing premier service to our patients and their caregivers. There's a saying, "Price is what you pay; value is what you get." At ACOSM, delivering on value is our mission.
We're proud of our experience, skill, and outcomes; it puts us in a category of one, which means you'll experience things with us not promised by any other veterinarian in AZ.
Distal Femoral Osteotomy for Comprehensive Treatment of Medial Patella Luxation
Three-Dimensional Printed Patient Specific Guides for Acute Correction of Deformities
Comparison of Arthroscopy and Arthrotomy for Diagnosis of Medial Meniscal Pathology
Second Look Arthroscopic Findings After Tibial Plateau Leveling Osteotomy
Arizona Canine Orthopedics & Sports Medicine
7410 E. Pinnacle Peak Road, Suite 110 Scottsdale, Arizona 85255
480.998.5999Just have a question?
Give us a call.
Watch real procedures.YouTube Check out our Instagram.Instagram
Copyright © 2026 Arizona Canine Orthopedic Sports Medicine (ACOSM). All rights reserved. Sitemap Privacy Terms
